Es muy probable que, en algún momento de tu vida, hayas sentido esa molestia punzante al beber algo muy frío o un ligero dolor al masticar algo dulce. No estás solo. Según datos del Consejo General de Dentistas de España, la caries dental es la enfermedad crónica más extendida en nuestro país, afectando a más del 90% de la población adulta en algún momento de su vida. Solo es superada en prevalencia por el resfriado común.
Sin embargo, que sea «común» no significa que sea inofensiva. Lo que comienza como una pequeña desmineralización imperceptible puede convertirse rápidamente en un problema complejo que ponga en riesgo no solo tu diente, sino tu salud general.
En Clínica Kranion, llevamos más de 30 años cuidando la salud bucodental de los alicantinos. Tras haber atendido a más de 60.000 pacientes, sabemos que la información es la primera línea de defensa. Por eso, hemos preparado esta guía completa para que entiendas qué ocurre en tu boca y, lo más importante, cómo podemos solucionarlo antes de que sea tarde.
¿Qué es la caries dental y cómo sé si tengo una?
Para entender al enemigo, primero hay que definirlo. La caries dental no es simplemente un «agujero» en el diente. Es una enfermedad infecciosa y multifactorial que se caracteriza por la destrucción progresiva de los tejidos duros del diente (esmalte y dentina).
Este proceso ocurre por la acción de los ácidos generados por las bacterias de la placa dental al metabolizar los azúcares de nuestra dieta. Es una guerra química: el ácido ataca, y si tu diente no tiene las defensas suficientes, el tejido se disuelve.
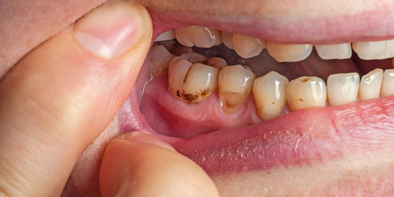
Señales de alerta: ¿Cómo se ve cuando empieza?
Muchas personas creen que si no hay dolor, no hay caries. Este es un error peligroso. La caries suele ser silenciosa en sus primeras etapas. Debes estar atento a estos signos visuales y sensoriales:
- Cambio de color: En su fase inicial, puede aparecer como una mancha blanca tizosa (descalcificación). A medida que avanza, la mancha se torna marrón o negra.
- Sensibilidad dental: Un pinchazo breve pero agudo al consumir alimentos fríos, calientes o muy dulces.
- Retención de comida: Si notas que siempre se te queda comida «enganchada» en el mismo punto entre dos muelas y el hilo dental se deshilacha al pasarlo, es muy probable que haya una cavidad oculta.
- Mal aliento (Halitosis): Las bacterias acumuladas en la cavidad de la caries producen olores desagradables.
Mitos y verdades: ¿Por qué me salen caries si no como dulces?
«Doctor, yo no como gominolas ni azúcar, ¿por qué tengo caries?». Esta es una de las preguntas que más escuchamos en nuestros gabinetes en Alicante.
La realidad es que el azúcar directo es el combustible favorito de las bacterias, pero no el único. Aquí entran en juego factores que a menudo se ignoran:
- Carbohidratos fermentables: El pan, la pasta, las patatas fritas o las galletas saladas se descomponen en azúcares simples en la boca. Si estos restos quedan atrapados, alimentan a las bacterias igual que un caramelo.
- La bacteria Streptococcus mutans: Es el principal microorganismo causante de la caries. Algunas personas tienen, por genética o contagio, una mayor concentración de estas bacterias en su flora oral.
- La calidad de tu saliva: La saliva actúa como un «lavado» natural y neutraliza ácidos. Si tienes la boca seca (xerostomía) o una saliva muy ácida, tus dientes están desprotegidos, comas lo que comas.
- Anatomía dental: Los dientes con surcos muy profundos o apiñamiento son más difíciles de limpiar, convirtiéndose en el refugio perfecto para la placa bacteriana.
Por tanto, la caries no es solo culpa del «dulce», sino de un equilibrio roto entre bacterias, dieta y la resistencia de tu huésped (el diente).
La amenaza invisible: ¿Qué es la caries entre dientes?
La caries interproximal es aquella que se forma justo en el punto de contacto entre dos dientes, donde el cepillo no llega. Es la más traicionera porque, al estar escondida, puede crecer hacia adentro sin romper la parte superior del diente hasta que es demasiado tarde.
A menudo, el paciente en Alicante acude a la clínica diciendo: «Se me ha roto una muela comiendo pan blando». La realidad es que la muela no se rompió por el pan; estaba hueca por dentro debido a una caries entre dientes que no se detectó a tiempo.
¿Cómo la detectamos en Clínica Kranion? Aquí es donde la tecnología marca la diferencia. A simple vista es imposible verlas. Utilizamos radiografía digital de aleta de mordida y transiluminación para ver «a través» del diente y detectar estas lesiones cuando todavía son pequeñas manchas oscuras en la radiografía, antes de que lleguen al nervio.

Fases de la destrucción: ¿Cuánto tiempo puede estar una caries sin tratar?
El tiempo es el factor crítico. Una caries no se detiene sola; siempre avanza. Sin embargo, la velocidad depende de la profundidad:
- Fase 1: Esmalte (Lenta e indolora). El esmalte es la sustancia más dura del cuerpo humano. La caries avanza despacio aquí. Si se detecta en esta fase, a veces ni siquiera requiere taladrar, sino remineralizar.
- Fase 2: Dentina (Rápida y sensible). Una vez que la bacteria perfora el esmalte, llega a la dentina, que es más blanda y porosa. Aquí el avance se acelera exponencialmente. Empiezas a notar molestias con el frío.
- Fase 3: Pulpa o Nervio (Dolor agudo). Si no se trata la fase anterior, las bacterias invaden la cámara pulpar. Se produce una infección interna (pulpitis). El dolor puede ser constante, pulsátil y nocturno.
¿Cuánto tiempo pasa entre la fase 1 y la 3? Puede variar desde meses hasta un par de años, dependiendo de la higiene y la agresividad de las bacterias. Pero recuerda: esperar a que duela es esperar a que el tratamiento sea más complejo.
Consecuencias: ¿Qué pasa si dejo una caries sin tratar o nunca me la saco?
Ignorar una caries bajo la premisa de «ya iré cuando me duela mucho» es una ruleta rusa para tu salud. Si decides no tratarla, las consecuencias van escalando en gravedad:
- Destrucción estructural: El diente se va ahuecando hasta que las paredes colapsan. Un diente muy destruido es difícil de reconstruir y puede requerir corona o incrustación.
- Infección y Abscesos: Cuando el nervio muere (necrosis), las bacterias salen por la punta de la raíz hacia el hueso, creando un flemón o absceso. Esto provoca hinchazón facial, fiebre y dolor intenso.
- Pérdida del diente: Si la destrucción llega a la raíz o la infección es masiva, la única solución será la extracción (exodoncia). Perder un diente implica que los demás se muevan, afectando tu mordida.
- Riesgo sistémico: Existe evidencia científica sólida que vincula las infecciones orales crónicas con problemas cardiovasculares, descompensación de la diabetes e incluso complicaciones en el embarazo. Las bacterias de tu boca pueden viajar por el torrente sanguíneo.
¿Es posible curar una caries en casa? (La verdad médica)
Internet está lleno de «remedios milagrosos» como enjuagues de aceite, agua oxigenada o pastas caseras que prometen curar la caries. Como especialistas médicos, debemos ser tajantes: No, no es posible curar una caries en casa.
El tejido dental (esmalte y dentina) no tiene capacidad de regenerarse por sí mismo una vez que se ha formado una cavidad. A diferencia de la piel, que cicatriza si te cortas, un agujero en un diente no se cierra solo.
- ¿Qué hacen los remedios caseros? El clavo de olor o los analgésicos pueden aliviar temporalmente el dolor, engañando a tus sentidos, pero la infección sigue avanzando «en silencio».
- El peligro: Usar trucos caseros suele retrasar la visita al dentista, convirtiendo lo que podría haber sido un empaste sencillo en una endodoncia compleja o una extracción.
Tratamientos efectivos: ¿Cómo se elimina la caries hoy en día?
La odontología moderna es conservadora. Nuestro objetivo en Clínica Kranion es siempre salvar tu diente original. Dependiendo del daño, aplicamos diferentes soluciones:
1. Obturación (El clásico «Empaste»)
Es el tratamiento para caries leves o moderadas. Eliminamos el tejido cariado bajo anestesia local y rellenamos la cavidad con composite, una resina estética de alta durabilidad que imita el color exacto de tu diente. Ya no usamos las antiguas amalgamas de plata («empastes negros») por motivos estéticos y estructurales.
2. Endodoncia (Tratamiento de conductos)
Cuando la caries ha llegado al nervio, el empaste no es suficiente. Es necesario «matar el nervio»: limpiar el interior de las raíces, desinfectarlas y sellarlas. Esto nos permite mantener el diente en boca y que vuelva a ser funcional, aunque ya no tenga sensibilidad vital.
3. Incrustaciones y Coronas
Si la caries ha destruido una gran parte de la muela, un empaste normal podría fracturarse al masticar. En estos casos, diseñamos digitalmente una pieza de cerámica o resina endurecida (incrustación) que se cementa sobre el diente para devolverle su resistencia original.

¿Cuánto cuesta quitar una caries? (Variables del presupuesto)
Es natural querer saber el precio antes de acudir a la clínica. Sin embargo, tal y como explicamos en nuestra guía de tratamientos complejos, hablar de una «tarifa fija» en salud sin ver al paciente genera más confusión que claridad. Decir un precio sin diagnóstico sería impreciso y poco profesional.
El coste de tratar una caries dental depende de variables clínicas que solo podemos valorar en el sillón:
- La extensión del daño: No conlleva el mismo tiempo, material ni dificultad técnica tratar una pequeña caries superficial en un surco, que reconstruir una muela que ha perdido dos de sus paredes.
- La afectación del nervio: Si la caries es profunda, puede requerir protectores pulpares o derivar en una endodoncia, lo cual cambia el plan de tratamiento.
- El diente afectado: La anatomía de un incisivo es diferente a la de un molar con múltiples raíces.
En Clínica Kranion, nuestra política es la transparencia absoluta. Partimos siempre de un diagnóstico exhaustivo para ofrecer un plan de tratamiento claro, sin cifras engañosas ni costes ocultos. Tras tu revisión, te entregaremos un presupuesto cerrado y personalizado, explicado punto por punto.
Prevención en Alicante: Consejos de nuestros expertos
La mejor caries es la que nunca aparece. Aunque la genética influye, el 90% del éxito reside en tus hábitos. Aquí tienes las claves para mantenerte libre de caries:
- Cepillo eléctrico vs. Manual: Recomendamos el uso de cepillos eléctricos con sensor de presión. Eliminan más placa bacteriana sin dañar la encía.
- Flúor, tu mejor aliado: Asegúrate de que tu pasta dental contenga al menos 1450 ppm de flúor. Este mineral remineraliza el esmalte y lo hace más resistente al ácido.
- El hilo dental no es opcional: Como vimos, la caries entre dientes es la más peligrosa. Úsalo cada noche antes de cepillarte.
- Reduce el «picoteo»: Cada vez que comes, el pH de tu boca baja y se vuelve ácido. Si picas entre horas constantemente, tu saliva no tiene tiempo de recuperar el equilibrio neutral, dejando tus dientes bajo ataque constante.
La caries dental es un proceso destructivo que no perdona el paso del tiempo. Lo que hoy es una leve sensibilidad al frío, mañana puede ser un dolor insoportable o la pérdida de una pieza dental insustituible. La buena noticia es que, detectada a tiempo, la solución es sencilla, rápida e indolora.
En Clínica Kranion, combinamos la experiencia de más de tres décadas con tecnología de diagnóstico digital para detectar lesiones que el ojo humano no ve. No esperes a que duela. Tu sonrisa es para toda la vida, y cuidarla es la mejor inversión que puedes hacer.
¿Llevas tiempo sin revisar tu boca? Solicita hoy tu cita de valoración en Alicante y déjanos ayudarte a mantener tu salud bucodental en perfectas condiciones.

Preguntas Frecuentes (FAQ)
¿Duele el tratamiento para eliminar la caries dental?
No. Hoy en día, gracias a las técnicas modernas de anestesia local, el tratamiento de la caries (ya sea un empaste o una endodoncia) es indoloro. En Clínica Kranion priorizamos tu confort; si sientes la más mínima molestia, paramos y reforzamos la anestesia. La molestia de tener una caries activa es mucho mayor que la del tratamiento para curarla.
¿Qué hago si tengo una caries y no puedo ir al dentista inmediatamente?
Si tienes dolor y no puedes acudir hoy mismo, mantén la zona extremadamente limpia cepillando suavemente para retirar restos de comida que alimenten a las bacterias. Evita alimentos muy fríos, calientes o dulces. Puedes tomar analgésicos antiinflamatorios (como ibuprofeno) si tu médico no lo contraindica, pero recuerda: esto solo disfraza el dolor, la infección sigue avanzando. Acude a la clínica lo antes posible.
¿Las caries se contagian a otros dientes?
Sí, es posible. La caries es una enfermedad infecciosa bacteriana. Si tienes una caries grande con alta carga bacteriana, esas bacterias pueden migrar a los dientes vecinos, especialmente si hay contacto directo entre ellos y la higiene no es perfecta. Tratar una caries protege al resto de tu boca.
¿Por qué siento sensibilidad después de un empaste?
Es relativamente normal sentir cierta sensibilidad térmica (al frío o al masticar) durante unos días después de realizar un empaste, especialmente si la caries era profunda y estaba cerca del nervio. El diente está «inflamado» por el procedimiento y necesita tiempo para recuperarse. Si la molestia persiste más de dos semanas o es un dolor pulsátil, llámanos para revisar el ajuste.
¿Son mejores los empastes blancos o los de plata (amalgama)?
Los empastes de plata (amalgama) han caído en desuso en la odontología moderna. Los empastes blancos (composite) no solo son infinitamente más estéticos, sino que se adhieren químicamente al diente, permitiendo ser más conservadores (hay que tallar menos diente sano para colocarlos). Además, evitamos el uso de mercurio presente en las amalgamas antiguas. En Clínica Kranion solo utilizamos materiales estéticos de alta biocompatibilidad.