La Odontología Deportiva es una disciplina odontológica que tiene como fin prevenir y tratar las enfermedades o las manifestaciones bucodentales que afectan al estado general del deportista, tanto amateur como profesional, así como la posible repercusión en su rendimiento físico y su calidad de vida.
Se ha demostrado que los deportistas con muelas del juicio impactadas corren un riesgo cuatro veces mayor de sufrir una fractura de mandíbula durante las competiciones.
También se sabe que los nadadores, que pasan mucho tiempo en el agua, pueden ver dañado el esmalte de sus dientes debido al cloro, al igual que ocurre con las bebidas isotónicas azucaradas que tanto consumen algunos deportistas.
Así mismo, los traumatismos relacionados con la actividad deportiva suponen uno de los apartados más importantes dentro de la odontología del deporte.
Sus consecuencias incluyen lesiones en los tejidos blandos (labios y lengua), fracturas cráneo-mandibulares, lesiones en la Articulación Temporomandibular (ATM) y fracturas o pérdidas dentales.

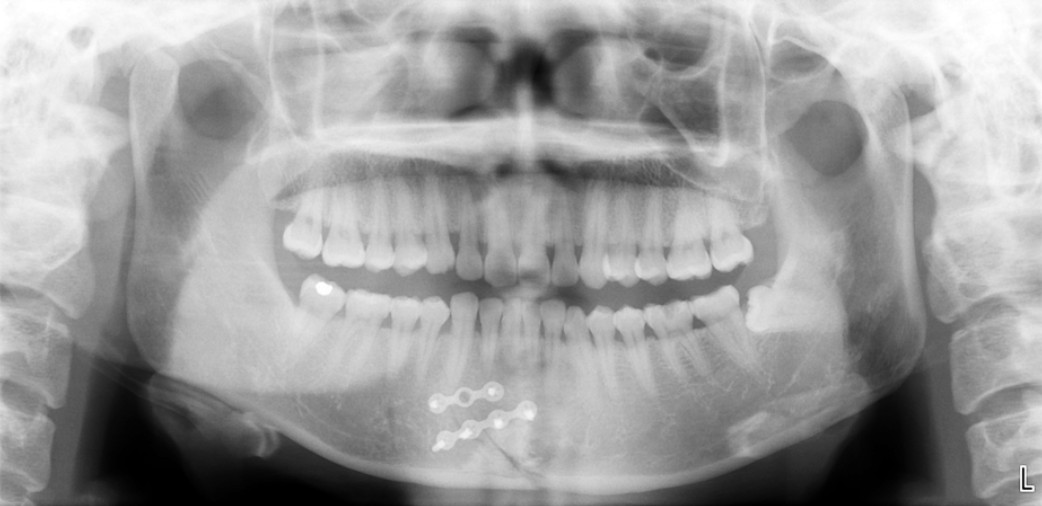
Fractura en línea media mandibular por impacto mandibular deportivo, que ha sido exitosamente reducida de forma quirúrgica por el equipo de Cirugía Maxilofacial de Clínica Kranion
La mayoría de todas estas lesiones se pueden evitar con el uso del PROTECTOR BUCAL (férula deportiva). En general, se puede afirmar que los protectores preformados o adaptados por el propio deportista (boil and bite), tienen poca retención, son muy voluminosos y provocan alteraciones en el engranaje de los dientes (oclusión dental), pudiendo generar molestias dentales y mandibulares que harán que su uso no sea confortable.
Sin embargo, el PROTECTOR BUCAL INDIVIDUALIZADO, hecho a medida por el dentista, es menos voluminoso, se adapta mejor a los dientes y se consigue una mejor oclusión dental entre el protector y la arcada dentaria opuesta al mismo, consiguiéndose una protección más efectiva ante un impacto craneo-mandibular.


Clínica Kranion trabajamos con el RD MOUTHGUARD®, un protector bucal especialmente diseñado para ofrecer la máxima protección a la ATM, dientes y maxilares frente accidentes traumáticos que tengan lugar durante la práctica deportiva y que además puede mejorar nuestro rendimiento deportivo.
El análisis de la forma en la que encajan u ocluyen nuestros dientes constituye un elemento fundamental en el diseño de los protectores RD MOUTHGUARD®.
Con ello conseguimos, por un lado, un contacto ocluso-dental bilateral y simultáneo durante el cierre mandibular que estabiliza ortopédicamente a la mandíbula y por otro lado, mediante unas plataformas de deslizamiento especialmente diseñadas en el protector bucal, se facilita que haya un mínimo avance mandibular y un ligero incremento del diámetro de la orofaringe que facilita el flujo aéreo respiratorio del deportista.

Gracias a ello, conseguimos una excelente protección bucodental frente a traumatismos y además podemos mejorar nuestro rendimiento físico deportivo al equilibrar el balance muscular en los movimientos de cierre mandibular que el cuerpo realiza como parte de la contracción remota voluntaria, induciéndose una mejor respuesta motora en grupos musculares distantes como el tronco inferior y los brazos.
Además, un correcto posicionamiento de la mandíbula repercutirá directamente en una menor sobrecarga de la musculatura encargada de la estabilidad y dinámica de la cabeza y el cuello.
Clínica Kranion es líder en Odontología Deportiva en Alicante, facilitando a todo tipo de deportistas, niños, adolescentes y adultos, ya sean profesionales o amateurs, que puedan practicar su actividad deportiva favorita, sin poner en riesgo su salud bucodental.
Más información en:
Si necesitas más información relacionada con la odontología deportiva, contacta con nosotros o visítanos en nuestro centro.
