La cirugía ortognática es un procedimiento quirúrgico avanzado que corrige alteraciones en el desarrollo de los maxilares, mejorando la función masticatoria, la respiración, la fonación y la estética facial.
A continuación, analizamos los aspectos fundamentales que todo paciente debe conocer sobre este tratamiento multidisciplinar
1. ¿Qué corrige exactamente la cirugía ortognática?
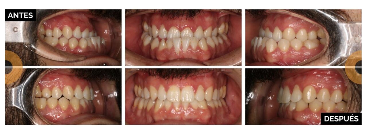
La cirugía ortognática trata las discrepancias esqueléticas severas que afectan a la posición de los dientes y la estructura ósea facial. A diferencia de la ortodoncia, que solo mueve piezas dentales, la cirugía ortognática desplaza y corrige la posición de las bases óseas del maxilar superior y/o la mandíbula.
Permite corregir los siguientes problemas:
- Grandes maloclusiones dentales: mordida abierta anterior, mordida cruzada posterior, clases II con resalte dental anterior aumentado o clases III con resalte dental anterior invertido.
- Mal posicionamiento de los maxilares como el prognatismo (mandíbula adelantada), el retrognatismo (mandíbula retraída), las asimetrías faciales (latero-desviación de mentón, la sonrisa gingival en el maxilar superior, etc.
- Tratamiento de la apnea obstructiva del sueño (AOS) al mejorar la permeabilidad (volumen) de la vía aérea superior.
- Así mismo, la cirugía ortognática mejora drásticamente la estética facial al reposicionar los maxilares, logrando un perfil más armónico, un mentón definido y una sonrisa equilibrada.

2. ¿En qué consiste la cirugía ortognática?
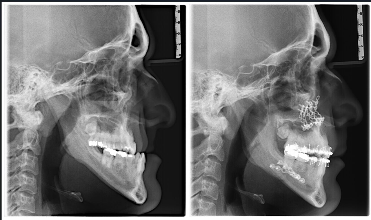
La cirugía ortognática consiste en realizar osteotomías (cortes en el hueso) en los maxilares para poder movilizarlos en la posición planificada. La nueva posición se fijará mediante miniplacas y/o tornillo de titanio para mantener su posición.

3. ¿Cuándo es necesaria la cirugía ortognática en un paciente?
La cirugía ortognática se recomienda cuando la maloclusión tiene un origen esquelético que impide una correcta oclusión (engranaje) dental. Se suele plantear en adultos, una vez que el crecimiento óseo ha finalizado por completo.
El diagnóstico digital mediante escaneado 3D de los dientes y el estudio radiográfico tridimensional con tomografía computarizada (TC ó CBCT) de los maxilares determina el grado de desviación ósea. Si la deformidad dento-esquelética afecta a la estética facial, a la función masticatoria o a la salud articular de la ATM (Articulación Temporomandibular), la cirugía ortognática es la opción indicada.

4. ¿Qué diferencia hay entre cirugía maxilofacial y ortognática?
A menudo existe confusión entre ambos términos, aunque están estrechamente relacionados en el ámbito clínico.
- Cirugía maxilofacial: Es una especialidad médico-quirúrgica realizada por un médico especializado en cirugía maxilofacial que se dedica al diagnóstico y tratamiento de enfermedades, traumatismos y defectos en la boca, mandíbula, cara, cuello y cráneo.
- Cirugía ortognática: Es una rama específica dentro de la cirugía maxilofacial que se centra en la corrección de las alteraciones posicionales acontecidas durante el desarrollo de los maxilares y que suele requerir un enfoque multidisciplinar donde suelen colaborar el cirujano maxilofacial y el dentista experto en ortodoncia.
5. ¿Es lo mismo un ortodoncista que un cirujano maxilofacial?
No, son perfiles distintos que deben trabajar en perfecta sintonía para el éxito del tratamiento.
El ortodoncista es un dentista especializado en ortodoncia que se encarga de alinear los dientes dentro de cada hueso maxilar.
El cirujano maxilofacial es un médico especializado en cirugía maxilofacial que realiza la intervención quirúrgica para mover dichos huesos a su posición ideal.
En Clínica Kranion, el tratamiento combinado de ortodoncia y cirugía ortognática se realiza de forma multidisciplinar y totalmente coordinado por profesionales sanitarios altamente cualificados y con una extensa experiencia.
6. ¿Cuánto tiempo de recuperación conlleva la intervención?
El tiempo de recuperación es variable y depende de la complejidad de cada caso clínico particular. Por lo general, el paciente requiere un periodo de reposo relativo de dos a cuatro semanas.
La inflamación más notable suele remitir de forma progresiva durante el primer mes tras la operación. Es fundamental seguir estrictamente las pautas médicas para asegurar una cicatrización ósea óptima y estable.
7. ¿Qué se siente durante el postoperatorio de una cirugía ortognática?
Tras la cirugía, es habitual sentir una sensación de presión e inflamación en la zona intervenida. La mayoría de los pacientes refiere más una incomodidad por la hinchazón que un dolor agudo insoportable.
Es común experimentar una pérdida temporal de sensibilidad en los labios o el mentón que se recupera gradualmente. El uso de medicación pautada, la aplicación de frío local y la realización de una rehabilitación fisioterápica postquirúrgica ayudan a que desaparezca pronto la inflamación y haya una rápida recuperación funcional masticatoria.

8. ¿Por qué el tercer día después de la cirugía suele ser el más difícil?
Clínicamente, el pico máximo de inflamación de los tejidos blandos ocurre entre las 48 y 72 horas postintervención. Por ello, el tercer día suele percibirse como el momento de mayor pesadez o congestión facial.
A partir de este punto, el volumen de la cara comienza a disminuir de manera constante y visible. Entender este proceso ayuda a reducir la ansiedad del paciente durante su recuperación en casa.
9. ¿Qué no se debe hacer después de una cirugía de mandíbula?
La adherencia a los cuidados postoperatorios es crítica para evitar complicaciones o desplazamientos óseos.
- No realizar esfuerzos físicos: Evitar el deporte de impacto durante las primeras semanas de recuperación..
- No ingerir alimentos de consistencia sólida: Es vital mantener una dieta líquida o triturada según las fases indicadas por el especialista.
- Evitar el tabaco: El tabaco interfiere gravemente en la vascularización y la curación del hueso..
- No descuidar la higiene: Mantener la boca limpia con enjuagues suaves es esencial para prevenir infecciones.
10. ¿Merece la pena la cirugía para tratar una disfunción temporomandibular (ATM)?
Muchos problemas de la ATM tienen su origen en una maloclusión dento-esquelética que sobrecarga la articulación. Al corregir la posición de los maxilares, se reduce la tensión mecánica en dicha estructura.
Aunque no todos los casos de ATM requieren cirugía, en pacientes con deformidad dentofacial severa los beneficios son significativos. La mejora en la función articular también suele repercutir positivamente en la reducción de dolores de cabeza y cuello.
11. Evaluación personalizada: La clave del éxito y el presupuesto
El coste y la duración de un tratamiento de cirugía ortognática nunca pueden determinarse sin un estudio previo. Factores como la técnica quirúrgica, el tipo de anestesia y la duración de la ortodoncia varían en cada caso.
Cada paciente requiere un plan de tratamiento único diseñado tras un análisis dental digital, un estudio fotográfico facial y una valoración radiográfica 3D de los maxilares. En Clínica Kranion, en Alicante, priorizamos la transparencia y la excelencia clínica para ofrecer soluciones reales y duraderas.

La cirugía ortognática representa la unión perfecta entre salud funcional y estética facial equilibrada. Gracias a los avances en tecnología de escaneo 3D, los procedimientos son hoy más precisos y predecibles que nunca. Si sufres de una maloclusión que afecta a tu bienestar, una evaluación multidisciplinar es el primer paso hacia tu nueva sonrisa.

Preguntas Frecuentes
1. ¿Es peligrosa una cirugía ortognática hoy en día? Es una intervención protocolizada y segura cuando la realiza un equipo con experiencia en entorno hospitalario. Los riesgos se minimizan con una planificación multidisciplinar previa realizada por el cirujano maxilofacial y el ortodoncista.
2. ¿Qué secuencia de tratamiento se suele aplicar en un tratamiento combinado de ortodoncia y cirugía ortognática? Es un tratamiento totalmente protocolizado y que consta de las diferentes fases secuenciales:
- Diagnóstico y plan de tratamiento realizados de forma conjunta por el cirujano maxilofacial y el ortodoncista.
- Fase de “ortodoncia prequirúrgica”, con una duración media de 12 meses, con el fin de alinear los dientes antes de la cirugía.
- Planificación virtual de la cirugía con la ayuda de un software específico que integra los registros digitales tomados al paciente (escaneado 3D de los dientes, tomografía computarizada de los maxilares y registros fotográficos) con el fin de fabricar unas guías (férulas quirúrgicas) que ayudarán al cirujano a posicionar correctamente los segmentos óseos.
- Cirugía ortognática propiamente dicha, con ingreso hospitalario.
- Rehabilitación fisioterápica postquirúrgica.
- Ortodoncia postquirúrgica final, con el fin de obtener un perfecta oclusión (engranaje) de los dientes, con una duración media de 6 a 12 meses.
3. ¿Cuánto tiempo tarda en irse la inflamación totalmente? Aunque la mayor parte desaparece en el primer mes, los cambios finales pueden apreciarse hasta los seis meses. El proceso de remodelación de los tejidos blandos es lento pero constante.
4. ¿Se utilizan brackets o alineadores en estos casos? Tradicionalmente, se han usado brackets, pero actualmente la cirugía ortognática también puede plantearse con un tratamiento de ortodoncia invisible. El especialista determinará la mejor herramienta para cada fase del tratamiento.
5. ¿Afectará la cirugía a mi forma de hablar? Inicialmente, puede haber una ligera adaptación por la nueva posición de los maxilares y la inflamación; aunque en corto periodo de tiempo, de 1-3 meses, hay una normalización del habla. 5. ¿Es necesario el ingreso hospitalario? Sí, es una intervención que requiere anestesia general y, habitualmente, una noche de estancia en el hospital. Esto garantiza que el paciente esté monitorizado y cómodo durante las primeras horas post-cirugía