El envejecimiento dental es una realidad inevitable que afecta a todos. Con el paso de los años, nuestra sonrisa experimenta cambios que van más allá de lo estético: los dientes se oscurecen, las puntas se desgastan y, a menudo, la alineación varía. En España, la preocupación por la estética dental en adultos ha crecido exponencialmente, impulsada por el deseo de mantener una imagen fresca y saludable en un entorno social y profesional cada vez más visual.
Detrás de unos dientes desgastados o más amarillos se esconden procesos clínicos que debemos entender y, sobre todo, tratar. En Clínica Kranion, con más de 30 años de experiencia en Alicante, abordamos el envejecimiento dental de forma integral. Le explicamos por qué su sonrisa cambia y, lo más importante, cómo la odontología avanzada puede devolverle la vitalidad y funcionalidad perdidas.
¿Qué es el Envejecimiento Dental y por qué mi sonrisa ya no luce como antes?
El envejecimiento dental no es una enfermedad, sino un conjunto de cambios fisiológicos y patológicos que suceden en la boca a lo largo del tiempo. Es, simplemente, el resultado de muchos años de uso y desgaste.
Los principales indicadores de que su sonrisa está experimentando el envejecimiento dental son:
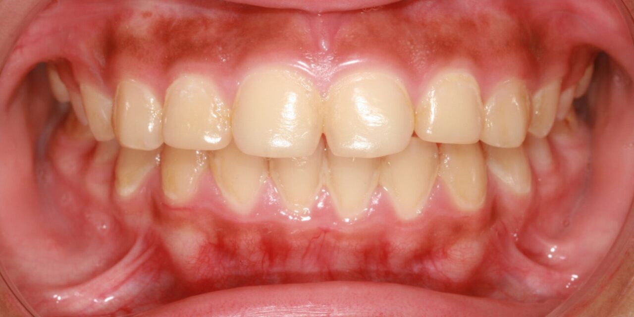
- Cambio de Color: Los dientes se perciben más amarillos o incluso grises.
- Desgaste Visible: Las puntas de los dientes se vuelven planas, cortas o presentan fracturas.
- Recesión Gingival: Las encías se retraen, mostrando la raíz del diente y aumentando la sensibilidad.
- Desalineación: Los dientes que estaban rectos pueden empezar a apiñarse o moverse.
Estos signos no solo afectan a su estética. También pueden impactar en su función masticatoria, aumentar el riesgo de caries y, por supuesto, mermar su confianza al sonreír.

¿Por qué los dientes se vuelven más amarillos o grises con la edad?
El color de nuestra sonrisa es la que más delata el paso del tiempo. La razón principal por la que los dientes se ven más oscuros es una combinación de factores internos y externos:
1. Adelgazamiento del Esmalte
El esmalte es la capa más externa, transparente y dura del diente. Con el tiempo, el desgaste dental natural y la erosión hacen que esta capa se adelgace. Al ocurrir esto, la capa que está justo debajo, que es la dentina, se hace más visible.
2. Engrosamiento de la Dentina
La dentina tiene un tono intrínsecamente más amarillo. A lo largo de la vida, esta capa sigue creciendo. Al ser más densa y visible a través del esmalte debilitado, el diente entero adquiere un tono más oscuro y amarillento.
3. Acumulación de Tinción Externa
El consumo habitual de café, té, vino tinto o tabaco facilita que los pigmentos se adhieran a la superficie del diente. Estos depósitos, si no se eliminan con higienes profesionales frecuentes, se van solidificando y oscureciendo el color general de la sonrisa.
¿Es normal que mis dientes se vean más cortos o desgastados? ¿Qué lo causa?
Ver los dientes cada vez más cortos, planos o con bordes irregulares es una queja común de los pacientes que experimentan envejecimiento dental. Esto se debe al desgaste dental, que se clasifica en tres tipos principales:
- Atrición (Roce): Es el desgaste producido por el contacto entre los dientes superiores e inferiores. El bruxismo (apretar o rechinar los dientes, a menudo mientras se duerme) es su principal acelerador. Puede dejar los bordes completamente planos.
- Abrasión (Fricción): Se produce por el contacto con elementos externos, como un cepillado dental demasiado fuerte o el uso de pastas dentales muy abrasivas. Suele manifestarse con muescas o ranuras en la zona cercana a la encía.
- Erosión (Químico): Causado por la acción de ácidos. Estos pueden ser externos (bebidas carbonatadas, zumos ácidos, ciertos medicamentos) o internos (reflujo gastroesofágico o bulimia). La erosión disuelve el esmalte, haciendo que el diente se vea redondeado y brillante.
Cuando el desgaste dental es severo, puede comprometer la pulpa del diente. Esto provoca sensibilidad, dolor e incluso puede requerir un tratamiento de endodoncia.
¿Cómo afecta el paso del tiempo a las encías y a la estructura ósea?
El envejecimiento dental no solo afecta a los dientes, sino a todas las estructuras de soporte de la boca. Dos problemas clave son:
1. Recesión Gingival
La recesión de las encías es cuando el tejido de la encía se retira, exponiendo parte de la raíz del diente. Esto aumenta significativamente la sensibilidad dental al frío, al calor o al tacto.
La recesión está ligada a factores como:
- Una técnica de cepillado agresiva.
- La enfermedad periodontal o periodontitis.
- El movimiento dental descontrolado o maloclusiones.
2. Pérdida de Soporte Óseo
Las enfermedades periodontales no tratadas son la principal causa de la pérdida de hueso maxilar en adultos. Con menos hueso, los dientes pierden estabilidad y pueden empezar a moverse, separarse o, en casos avanzados, caerse.
Es vital que cualquier plan de rejuvenecimiento dental comience con un estudio periodontal completo para asegurar que el hueso y las encías están sanos antes de invertir en estética.

¿La ortodoncia invisible funciona en el Envejecimiento Dental?
Sí, la ortodoncia invisible con alineadores transparentes es una solución excelente para corregir los movimientos tardíos que son parte del envejecimiento dental. No existe una edad límite para alinear los dientes.
Muchos pacientes adultos que notan que sus dientes se han apiñado con los años eligen los alineadores por varias razones:
- Estética: Son casi imperceptibles, lo cual es fundamental para profesionales y adultos.
- Comodidad: No hay alambres ni brackets que causen rozaduras o urgencias.
- Higiene: Se pueden quitar para comer y cepillarse, manteniendo una higiene óptima.
Corregir la alineación en la edad adulta no es solo por estética. Al mejorar la mordida, se reparten mejor las fuerzas de masticación. Esto reduce el desgaste dental futuro y mejora la salud de la articulación temporomandibular (ATM).
¿Qué tratamientos estéticos ofrece la Odontología moderna para una sonrisa más joven?
La Odontología Estética actual se centra en tratamientos mínimamente invasivos que buscan la naturalidad. Las principales opciones para combatir el envejecimiento dental son:
- Blanqueamiento Dental Profesional: Es el tratamiento ideal para combatir el oscurecimiento y el tono amarillo de la dentina. En la clínica, utilizamos geles de alta concentración que son seguros y efectivos, logrando un tono más blanco en poco tiempo.
- Bondingo Reconstrucción Estética con Composite: Una técnica conservadora donde se añade resina de composite al diente. Se utiliza para:
- Reconstruir bordes desgastados.
- Cerrar pequeños espacios o diastemas.
- Corregir fracturas o irregularidades leves.
- El procedimiento suele realizarse en una sola sesión.
- Carillas Dentales (Porcelana o Composite): Son finas láminas que cubren la parte frontal del diente, mejorando drásticamente su forma, tamaño y color. Son la solución más duradera y estética para casos con desgaste dental severo, malformaciones o tinción intrínseca que el blanqueamiento no puede corregir.
¿Qué es la Odontología Conservadora y Regenerativa en la lucha contra el Desgaste Dental?
La Odontología Conservadora es la clave para tratar el desgaste dental avanzado sin la necesidad de implantes o extracciones. Se enfoca en restaurar la estructura dental perdida con la máxima fidelidad y durabilidad.
- Inlays y Onlays: Son restauraciones de composite o porcelana que se fabrican en el laboratorio y se cementan en la clínica. Se usan cuando el diente ha perdido mucha estructura, pero aún no es necesaria una corona completa.
- Coronas Dentales (Fundas): Cuando el desgaste dental o la fractura han debilitado la mayor parte del diente, la corona lo recubre totalmente. Esto le devuelve su forma original y le proporciona una protección estructural completa. Las coronas modernas de Zirconio son altamente estéticas y resistentes.
- Rehabilitación Completa: En casos de envejecimiento dental muy avanzado, donde se ha perdido la dimensión vertical (la altura de la mordida), se requiere un plan multidisciplinar. Este plan combina ortodoncia, periodoncia y prótesis para devolver la función y la estética a toda la boca.

¿Podemos prevenir el Envejecimiento Dental o ralentizar sus efectos?
Aunque el envejecimiento dental es natural, podemos ralentizarlo significativamente con prevención y buenos hábitos:
- Control del Bruxismo: Si aprieta o rechina los dientes, el uso nocturno de una férula de descarga es fundamental. Esta protege los dientes del desgaste dental por atrición.
- Higiene Profesional Regular: No basta con cepillarse en casa. Las limpiezas anuales o semestrales eliminan el sarro y la tinción, previniendo la periodontitis y manteniendo el color más uniforme.
- Dieta Consciente: Reduzca el consumo de alimentos y bebidas muy ácidos o con alta pigmentación (cítricos, vinagres, refrescos, café). Si los toma, intente enjuagarse la boca con agua después.
- Uso de Flúor: En la edad adulta, los dentífricos o enjuagues con flúor ayudan a remineralizar el esmalte, haciéndolo más resistente a la erosión.
¿Cuánto duran los tratamientos y qué factores influyen en el coste final?
Entendemos que la inversión en su sonrisa es importante. En Clínica Kranion, mantenemos una política muy rigurosa en cuanto a presupuestos.
No existe un precio estándar ni una duración fija para tratar el envejecimiento dental.
Los factores que determinan el coste y la duración de su tratamiento son:
- Complejidad y Severidad: La rehabilitación de un diente con bonding es rápida. Un caso que requiere ortodoncia, tratamiento periodontal y varias coronas será más largo y, por lo tanto, conllevará un coste más alto.
- Material Elegido: Las restauraciones en porcelana o las carillas de alta gama son más duraderas y estéticas que el composite, lo que repercute en el presupuesto.
- Necesidad de Tratamientos Combinados: Si se requiere una cirugía menor o un tratamiento de encías (periodoncia) antes de la estética, esto se suma al plan total.
Cada caso es particular. Para ofrecerle un presupuesto claro y una duración estimada, necesitamos realizar una evaluación completa que incluya escaneo 3D y análisis facial. Solo así podemos clarificar estos puntos y evitar cifras engañosas o costes ocultos.
El envejecimiento dental es un proceso complejo que requiere un enfoque multidisciplinar. No se trata solo de blanquear; se trata de restaurar la función, la mordida y la salud de sus encías.
En Clínica Kranion, con nuestra trayectoria de más de 30 años en Alicante, utilizamos tecnología de diagnóstico de vanguardia, como el escáner intraoral 3D iTero 5D. Esto nos permite diseñar un plan de rejuvenecimiento dental que no solo es estético, sino que es estable y funcional a largo plazo.
No se conforme con soluciones parciales. Si nota su sonrisa más oscura, corta o con dientes desgastados, pida su estudio digital sin compromiso. Nuestro equipo de especialistas le dirá si la ortodoncia invisible, las carillas o la odontología conservadora son la mejor opción para que recupere la vitalidad de su sonrisa.

PREGUNTAS FRECUENTES sobre el Envejecimiento Dental
1. ¿El blanqueamiento dental funciona cuando los dientes están muy oscuros por el envejecimiento?
El blanqueamiento profesional es muy eficaz para revertir el oscurecimiento superficial. Sin embargo, el cambio de color asociado al envejecimiento dental se debe a que la dentina (capa interna y amarilla) se vuelve más gruesa. En estos casos, si el blanqueamiento no es suficiente, existen alternativas como las carillas dentales que ofrecen resultados más predecibles y duraderos.
2. ¿Qué significa que mis dientes se vean más «cuadrados» o «planos»?
Esto es un síntoma claro de desgaste dental por atrición, el roce continuado entre las piezas superiores e inferiores. Puede ser causado por apretar o rechinar los dientes (bruxismo). Es fundamental tratar la causa del desgaste, a menudo con una férula de descarga, antes de rehabilitar las piezas con bonding o carillas.
3. ¿Hay alguna edad límite para iniciar un tratamiento de ortodoncia?
¡En absoluto! El movimiento dental es posible a cualquier edad si las encías y el hueso están sanos. Muchos adultos optan por la ortodoncia invisible (alineadores transparentes) para corregir los movimientos tardíos o el apiñamiento que se produce con el envejecimiento dental, mejorando la estética y la salud de la mordida.
4. Si tengo mucha sensibilidad dental, ¿es un signo de Envejecimiento Dental?
La sensibilidad puede ser un síntoma de recesión gingival (las encías se retiran) o de fisuras y grietas causadas por el desgaste. Es un signo de alarma que requiere una revisión. Un diagnóstico completo en Clínica Kranion determinará la causa exacta y el tratamiento adecuado (selladores, injertos o reconstrucciones).
5. ¿Los tratamientos de rejuvenecimiento dental son muy largos o invasivos?
No necesariamente. Las soluciones van desde procedimientos mínimamente invasivos como el bonding estético (en una sola sesión) hasta tratamientos más completos como las carillas de porcelana o las coronas. La duración está sujeta a la complejidad del caso y a la necesidad de tratamientos complementarios, algo que solo se puede establecer tras una evaluación completa por nuestro equipo especialista.
6. ¿Es necesario cambiar mis empastes antiguos como parte del rejuvenecimiento?
Sí, a menudo. Con el tiempo, los empastes de amalgama o de composite antiguos se oscurecen o se desgastan. Sustituirlos por restauraciones modernas de composite o cerámica no solo mejora la estética, sino que sella mejor el diente, protegiéndolo de futuras caries.
7. ¿Qué pasa si mis dientes están desgastados, pero también tengo enfermedad periodontal?
La salud periodontal tiene prioridad. Si hay periodontitis activa, debemos tratarla primero para estabilizar las encías y el hueso. Una vez controlada la enfermedad, podemos iniciar el plan de rehabilitación estética de los dientes desgastados. El equipo multidisciplinar in-house de Clínica Kranion facilita esta coordinación.