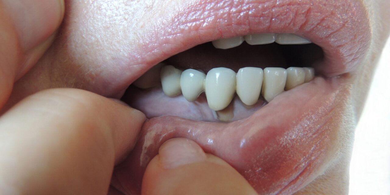
¿Qué es la Periodoncia?

La periodoncia es la especialidad odontológica que se ocupa de los tejidos que rodean y sujetan tus dientes. No solo hablamos de la encía, sino también del hueso alveolar y el ligamento que mantiene cada pieza en su sitio. En España, gran parte de la población adulta presenta algún grado de patología gingival, muchas veces […]