¿Alguna vez has sentido un dolor dental intenso que no te deja tranquilo? Es posible que estés experimentando una infección en el nervio de tu diente, una situación que, si no se trata a tiempo, podría llevar a la pérdida de la pieza. En Clínica Kranion, con más de 30 años de experiencia en Alicante, sabemos que la endodoncia es una solución eficaz y segura para preservar tu salud bucodental. Esta alternativa, también conocida como tratamiento de conducto, busca eliminar la infección y el dolor, permitiéndote conservar tu diente natural.
En esta guía completa, abordaremos las preguntas más frecuentes que nos plantean nuestros pacientes en España sobre el tratamiento de conducto en Alicante, desde qué es y cuándo es necesario hasta cómo se realiza y qué esperar del post-tratamiento. Nos basamos en la evidencia científica y en nuestra vasta experiencia con más de 60.000 pacientes atendidos, para ofrecerte información clara, precisa y actualizada a 2025.

¿Qué es la endodoncia o tratamiento de conducto y cuándo se necesita?
La endodoncia, comúnmente conocida como tratamiento de conducto, es un procedimiento dental que se realiza para eliminar la pulpa dental infectada o inflamada. La pulpa es el tejido blando que se encuentra en el interior del diente, conteniendo nervios, vasos sanguíneos y tejido conectivo. Cuando esta pulpa se daña, ya sea por una caries profunda, un traumatismo o una fractura dental, puede infectarse y causar un dolor considerable.
Se necesita una endodoncia cuando la pulpa del diente está irreversiblemente dañada. Esto ocurre típicamente por:
- Caries profundas: Si una caries no se trata a tiempo, puede extenderse hasta la pulpa, causando una infección.
- Traumatismos: Un golpe fuerte en un diente puede dañar el nervio, incluso si no hay fractura visible.
- Fracturas dentales: Una grieta o fractura que expone la pulpa la hace vulnerable a la infección.
- Desgaste severo: El desgaste prolongado de los dientes puede irritar y dañar la pulpa.
El objetivo principal de la endodoncia es limpiar la infección del interior del diente, desinfectar los conductos radiculares y sellarlos para evitar futuras infecciones. Esto permite conservar el diente natural en la boca, evitando su extracción y las complicaciones asociadas a la pérdida dental.
¿Cuáles son los síntomas que indican la necesidad de una endodoncia?
Identificar los síntomas a tiempo es crucial para preservar la salud de tu diente. Aunque el dolor es el síntoma más común, la necesidad de una endodoncia puede manifestarse de diversas maneras:
- Dolor dental intenso y persistente: Este dolor puede ser espontáneo o al masticar, y a menudo empeora al aplicar presión. Puede irradiarse a otras zonas de la cara.
- Sensibilidad prolongada al frío o al calor: Una sensibilidad que persiste incluso después de retirar el estímulo (bebidas o alimentos fríos/calientes) es una señal de alerta.
- Inflamación o hinchazón de la encía: La zona alrededor del diente afectado puede mostrar inflamación, sensibilidad o incluso un pequeño bulto (fístula o «grano») que drena pus.
- Decoloración del diente: El diente afectado puede oscurecerse, indicando un daño en la pulpa.
- Sensibilidad al tacto o a la presión: Incluso un toque ligero en el diente puede ser doloroso.
Es importante destacar que, en algunos casos, un diente puede necesitar una endodoncia sin presentar síntomas evidentes, especialmente si la infección es crónica. Por ello, las revisiones dentales periódicas son fundamentales para detectar problemas a tiempo.

¿Es dolorosa la endodoncia? Mitos y realidades del tratamiento de conducto.
Uno de los mayores temores asociados a la endodoncia es el dolor. Sin embargo, es fundamental desmitificar esta idea. Gracias a los avances en la anestesia local y las técnicas modernas, el tratamiento de conducto actual es un procedimiento relativamente indoloro, comparable a la realización de un empaste grande.
Mitos comunes:
- «La endodoncia es extremadamente dolorosa»: Esto es una percepción antigua. La realidad es que el dolor que se siente antes del tratamiento, debido a la infección, es mucho más intenso que el propio procedimiento. La anestesia local garantiza que no sientas dolor durante la intervención.
- «La endodoncia te quita el nervio y el diente «muere»»: Si bien se retira la pulpa (que contiene el nervio), el diente sigue siendo una estructura viva anclada al hueso por ligamentos. Se mantiene funcional y se nutre del tejido circundante.
Realidades en 2025:
- Anestesia efectiva: Se utiliza anestesia local de última generación para adormecer completamente el área, asegurando que no haya dolor durante el procedimiento.
- Alivio del dolor: El objetivo principal de la endodoncia es precisamente aliviar el dolor causado por la infección, no generarlo.
- Molestias post-tratamiento: Es normal sentir una ligera sensibilidad o molestia en la zona tratada durante unos días después de la endodoncia. Esto se maneja eficazmente con analgésicos de venta libre y suele desaparecer rápidamente.
- Tecnología avanzada: El uso de microscopios dentales y limas rotatorias en las clínicas modernas permite una mayor precisión y eficiencia, reduciendo el tiempo del procedimiento y las posibles molestias.
En España, la percepción del dolor en tratamientos dentales ha disminuido significativamente en los últimos años debido a la mejora de las técnicas y la confianza en los profesionales. Se estima que más del 90% de los pacientes que se someten a una endodoncia reportan una experiencia cómoda.
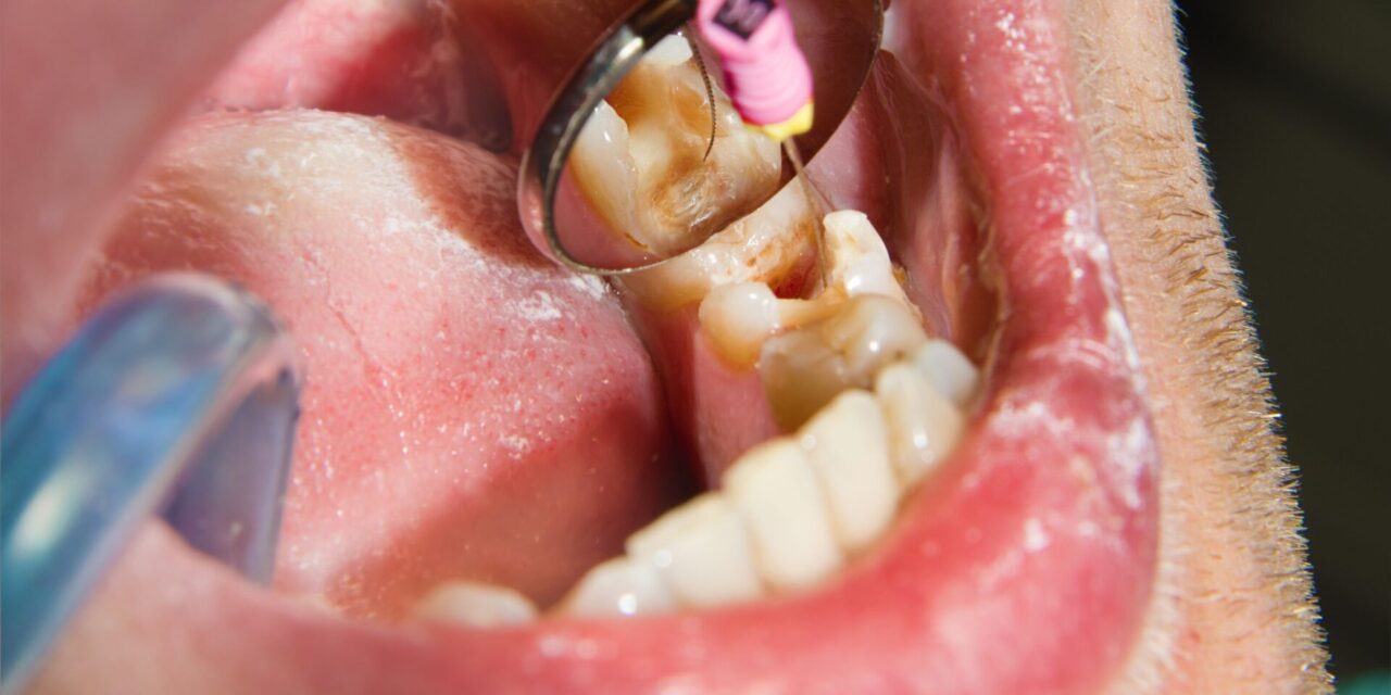
¿Cómo se realiza el tratamiento de endodoncia paso a paso?
El procedimiento de endodoncia se lleva a cabo en una o varias citas, dependiendo de la complejidad del caso y la extensión de la infección. Generalmente, sigue estos pasos:
- Diagnóstico y planificación: El dentista realiza un examen exhaustivo, que incluye radiografías para evaluar la extensión de la infección y la anatomía de los conductos radiculares. En 2025, el uso de escáneres 3D (CBCT) es cada vez más común, ofreciendo una visión tridimensional y detallada del diente.
- Anestesia local: Se aplica anestesia para asegurar que el paciente no sienta ninguna molestia durante el procedimiento.
- Aislamiento del diente: Se coloca un dique de goma (una lámina de látex o nitrilo) alrededor del diente afectado para aislarlo de la saliva y mantener un campo de trabajo estéril. Esto es fundamental para prevenir la contaminación.
- Acceso a la pulpa: Se realiza una pequeña abertura en la corona del diente para acceder a la cámara pulpar y a los conductos radiculares.
- Limpieza y conformación: Con instrumentos especiales, como las limas endodónticas (manuales o rotatorias), se retira la pulpa infectada o dañada. Se limpian y desinfectan los conductos radiculares, y se les da forma para que puedan ser rellenados adecuadamente. Este proceso elimina las bacterias y los residuos.
- Obturación (relleno) de los conductos: Una vez limpios y secos, los conductos se rellenan con un material biocompatible, generalmente gutapercha, que se sella con un cemento. Esto previene futuras infecciones.
- Restauración provisional o definitiva: Se coloca un empaste temporal sobre el acceso a los conductos. En una cita posterior, se realiza la restauración definitiva del diente, que puede ser un empaste o, más comúnmente, una corona dental para proteger la estructura del diente tratado, ya que puede volverse más frágil.
Todo el proceso busca preservar la estructura dental natural y restaurar la función del diente de manera duradera.

¿Qué tipos de endodoncia existen según la complejidad del caso?
Aunque el principio básico de la endodoncia es el mismo, el tratamiento puede variar en complejidad y, por tanto, en su clasificación:
- Endodoncia unirradicular: Se realiza en dientes que tienen una sola raíz y, por lo tanto, un solo conducto radicular. Ejemplos comunes son los incisivos y los caninos. Son los casos más sencillos.
- Endodoncia birradicular: Aplicable a dientes con dos raíces y, consecuentemente, dos conductos. Los premolares suelen entrar en esta categoría.
- Endodoncia multirradicular: Este tipo se lleva a cabo en dientes que poseen tres o más raíces y múltiples conductos, como los molares. Estos casos son los más complejos debido a la anatomía variable y, a veces, curva de los conductos, requiriendo mayor pericia y tiempo.
Además de estas clasificaciones, existen procedimientos endodónticos específicos:
- Retratamiento de endodoncia: Se realiza cuando un tratamiento de conducto previo ha fallado o se ha reinfectado. Implica la remoción del material de relleno antiguo, una nueva limpieza y desinfección, y el sellado de los conductos.
- Apicoectomía: Es un procedimiento quirúrgico que se realiza cuando la infección persiste en la punta de la raíz del diente después de una endodoncia convencional. Se accede a la punta de la raíz a través de la encía y el hueso para eliminar el tejido infectado y sellar la raíz desde su extremo.
- Pulpotomía y Pulpectomía (en dientes temporales): En odontología pediátrica, se utilizan técnicas adaptadas para preservar los dientes de leche dañados. La pulpotomía es la remoción parcial de la pulpa coronaria, mientras que la pulpectomía implica la remoción total de la pulpa.
La elección del tipo de endodoncia y la necesidad de procedimientos adicionales siempre la determinará un diagnóstico preciso por parte del especialista, evaluando la anatomía del diente y la extensión de la infección.
¿Por qué es importante salvar un diente con endodoncia en lugar de extraerlo?
La decisión de realizar una endodoncia para salvar un diente, en lugar de optar por su extracción, es crucial para la salud bucodental general y a largo plazo. La preservación del diente natural ofrece múltiples beneficios:
- Mantiene la función masticatoria: Un diente natural, una vez tratado y restaurado, permite masticar con normalidad, distribuyendo las fuerzas de manera equilibrada y evitando la sobrecarga en otros dientes.
- Conserva la alineación dental: La pérdida de un diente puede provocar que los dientes adyacentes se desplacen o inclinen, alterando la mordida y creando espacios donde se acumula comida, lo que puede derivar en problemas de encías o caries.
- Evita la pérdida ósea: La raíz del diente estimula el hueso alveolar. Cuando un diente se extrae, el hueso en esa zona tiende a reabsorberse con el tiempo, lo que puede afectar la estabilidad de los dientes vecinos y la apariencia facial.
- Mejora la estética: Conservar tu diente natural contribuye a mantener la apariencia de tu sonrisa sin necesidad de reemplazar la pieza con prótesis removibles.
- Menos invasivo a largo plazo: Aunque la endodoncia es un procedimiento, a menudo es menos invasivo que la extracción seguida de un implante o puente, que requiere múltiples citas y, en el caso de los implantes, un proceso de cicatrización ósea.
- Mayor estabilidad y sensación natural: Un diente endodonciado se siente y funciona como un diente natural, a diferencia de una prótesis removible que puede sentirse extraña o un implante que, aunque muy funcional, no replica exactamente la sensación del diente original.
Según datos de la Sociedad Española de Endodoncia (AEDE), la tasa de éxito de los tratamientos de endodoncia supera el 90%, lo que la convierte en una opción altamente fiable para mantener la integridad de tu dentición.

¿Cuánto dura el proceso de recuperación y qué cuidados debo seguir tras una endodoncia?
El proceso de recuperación después de una endodoncia suele ser rápido y las molestias son mínimas. Sin embargo, es importante seguir una serie de cuidados para asegurar el éxito del tratamiento y una pronta recuperación.
Duración de la recuperación:
- Primeras horas/días: Es normal sentir una ligera sensibilidad o molestia en la zona tratada, especialmente al masticar. Esto se debe a la inflamación residual de los tejidos circundantes.
- Gestión del dolor: Estas molestias suelen ser leves y pueden controlarse eficazmente con analgésicos de venta libre, como el ibuprofeno o el paracetamol, siguiendo siempre la recomendación de tu dentista. En 2025, se prioriza una gestión del dolor post-operatorio que minimice el uso de opioides, enfocándose en antiinflamatorios.
- Normalidad en pocos días: La mayoría de los pacientes retoman sus actividades normales al día siguiente del tratamiento. La sensibilidad debería desaparecer por completo en pocos días.
Cuidados esenciales tras una endodoncia:
- Evitar masticar en la zona tratada: Especialmente si se ha colocado una restauración temporal. Espera hasta que el diente haya sido restaurado permanentemente con un empaste o una corona.
- Mantener una higiene bucal rigurosa: Cepilla tus dientes con suavidad dos veces al día y usa hilo dental. Una buena higiene previene la acumulación de placa y nuevas caries.
- Evitar alimentos duros o pegajosos: Hasta que el diente esté completamente restaurado, evita morder alimentos que puedan fracturar el diente tratado o desalojar la restauración temporal.
- Asistir a la cita de restauración definitiva: Es crucial no demorar la colocación de la restauración permanente (corona o empaste definitivo). Un diente endodonciado sin la protección adecuada es más susceptible a fracturas.
- Revisiones regulares: Continúa con tus visitas periódicas al dentista para asegurar la salud de tu diente tratado y el resto de tu boca.
El éxito a largo plazo de una endodoncia depende en gran medida de una buena restauración final y de los cuidados post-tratamiento.
¿Existen alternativas a la endodoncia en casos de infección dental severa?
Cuando la pulpa de un diente está gravemente infectada o dañada, las opciones son limitadas y generalmente se reducen a dos caminos: la endodoncia o la extracción dental. No obstante, es importante entender las implicaciones de cada elección.
1. La Endodoncia (Tratamiento de Conducto): Como hemos detallado, esta es la opción preferente cuando se busca preservar el diente natural. Permite eliminar la infección, aliviar el dolor y mantener la función del diente en la arcada, evitando las consecuencias de la pérdida de una pieza dental. Es el tratamiento de elección para salvar un diente con compromiso pulpar.
2. La Extracción Dental: Si la infección es tan severa que la endodoncia no es viable, o si el paciente prefiere no realizarla, la única alternativa es la extracción del diente. Esta opción implica la eliminación completa de la pieza dental. Sin embargo, la extracción conlleva una serie de implicaciones:
- Pérdida de la función masticatoria: Se pierde la capacidad de masticar eficazmente en esa zona.
- Problemas de alineación: Los dientes adyacentes pueden moverse hacia el espacio vacío, desalineando la mordida.
- Pérdida ósea: El hueso que rodeaba la raíz del diente tiende a reabsorberse con el tiempo, lo que puede afectar la estructura facial y la estabilidad de los dientes vecinos.
- Necesidad de reemplazo: Una vez extraído el diente, se recomienda su reemplazo para evitar los problemas mencionados. Las opciones de reemplazo incluyen:
- Implantes dentales: Considerados la mejor opción para reemplazar un diente ausente, ya que replican la raíz dental y evitan la pérdida ósea. Sin embargo, es un procedimiento quirúrgico y su coste puede ser superior al de una endodoncia y su posterior restauración.
- Puentes dentales: Consisten en coronas unidas que reemplazan el diente faltante, apoyándose en los dientes adyacentes, que deben ser tallados.
- Prótesis parciales removibles: Son aparatos que se quitan y ponen, menos estables y cómodos que las opciones fijas.
En 2025, la odontología moderna siempre prioriza la preservación de los dientes naturales. La extracción solo se considera cuando el diente no puede ser salvado por ningún medio, o cuando su pronóstico a largo plazo es muy desfavorable, incluso con una endodoncia. La evaluación individualizada por un especialista es fundamental para tomar la mejor decisión.

¿Qué impacto tiene la tecnología digital en la endodoncia moderna en 2025?
La endodoncia ha experimentado una revolución gracias a la integración de la tecnología digital, mejorando la precisión, la eficiencia y la comodidad para el paciente. En 2025, estas herramientas son ya un estándar en clínicas de referencia:
- Radiografía digital 2D y 3D (CBCT):
- Ventajas: Menor exposición a la radiación para el paciente y obtención de imágenes instantáneas y de alta resolución.
- CBCT (Tomografía Computarizada de Haz Cónico): Permite obtener una visión tridimensional de los dientes, raíces y estructuras circundantes. Esto es invaluable para:
- Detectar conductos adicionales o atípicos.
- Evaluar la extensión de infecciones y lesiones óseas.
- Planificar retratamientos complejos o cirugías.
- Según la Sociedad Española de Endodoncia (AEDE), el uso de CBCT ha incrementado la tasa de éxito en casos complejos al permitir un diagnóstico más preciso.
- Localizadores de ápices electrónicos: Estos dispositivos miden electrónicamente la longitud de los conductos radiculares, lo que permite una limpieza y un sellado precisos sin necesidad de múltiples radiografías durante el procedimiento.
- Limas rotatorias y reciprocantes de níquel-titanio: Han sustituido en gran medida a las limas manuales.
- Beneficios: Mayor flexibilidad para adaptarse a la anatomía curva de los conductos, reduciendo el riesgo de fractura de la lima y acortando el tiempo del tratamiento.
- Eficiencia: Permiten una limpieza y conformación más rápida y efectiva de los conductos.
- Microscopio dental y lupas de aumento:
- Precisión: Aumentan la visibilidad del campo operatorio hasta 25 veces, permitiendo al endodoncista ver detalles anatómicos muy pequeños, localizar conductos accesorios y tratar fracturas o calcificaciones con mayor precisión.
- Mejora de pronóstico: El uso de magnificación mejora significativamente el pronóstico en casos complejos.
- Escáneres intraorales 3D: Aunque más asociados a la ortodoncia invisible y las prótesis, también son útiles en endodoncia para obtener modelos digitales del diente y planificar restauraciones post-endodoncia con mayor exactitud.
La implementación de estas tecnologías en clínicas como Clínica Kranion en Alicante se traduce en tratamientos de endodoncia más seguros, predecibles y con un mejor pronóstico a largo plazo para el paciente.
¿Cómo elegir al mejor especialista en endodoncia en Alicante?
Elegir al profesional adecuado para tu endodoncia en Alicante es tan importante como el tratamiento en sí. Una elección informada te dará tranquilidad y asegurará el éxito de tu procedimiento. Aquí te ofrecemos 7 pistas clave para acertar:
- Formación y especialización: Busca un dentista con formación específica en endodoncia. Idealmente, un endodoncista es un odontólogo que ha realizado un posgrado o máster en esta especialidad. Pregunta por su experiencia y casos tratados.
- Tecnología y equipamiento: Una clínica moderna debe contar con las últimas tecnologías en endodoncia. Esto incluye radiografía digital (2D y 3D/CBCT), localizadores de ápices electrónicos, limas rotatorias de níquel-titanio y, preferiblemente, microscopio dental o lupas de aumento. La tecnología es un pilar para la precisión.
- Experiencia y volumen de casos: Un profesional con un alto volumen de endodoncias realizadas acumula una experiencia valiosa que se traduce en mayor pericia y resultados predecibles. No dudes en preguntar sobre su trayectoria.
- Transparencia en el diagnóstico y plan de tratamiento: El especialista debe explicarte claramente el diagnóstico, por qué necesitas una endodoncia, cómo se realizará el procedimiento, qué alternativas existen (si las hay) y qué esperar del post-tratamiento. Debe resolver todas tus dudas antes de comenzar.
- Opiniones y reputación online: Revisa las reseñas y testimonios de otros pacientes en plataformas como Google Reviews o foros especializados. Presta atención no solo a la calificación general, sino también a los comentarios sobre la atención al paciente, la profesionalidad y la resolución de dudas.
- Higiene y protocolo de esterilización: Observa si la clínica sigue estrictos protocolos de higiene y esterilización. Esto es fundamental para tu seguridad y para prevenir infecciones cruzadas.
- Ubicación y accesibilidad: Una clínica bien ubicada y con fácil acceso en Alicante puede facilitar tus visitas, especialmente si necesitas varias citas o seguimiento.
En Clínica Kranion en Alicante, cumplimos con estos criterios, ofreciendo un equipo de profesionales altamente cualificados, tecnología de vanguardia y una dilatada trayectoria en tratamientos de endodoncia, siempre con un enfoque centrado en el bienestar y la confianza del paciente.
La endodoncia es un pilar fundamental en la odontología conservadora, ofreciendo una solución efectiva para salvar dientes que, de otro modo, se perderían. Permite eliminar la infección, aliviar el dolor y preservar la estructura dental natural, contribuyendo significativamente a tu salud bucodental general.
En Clínica Kranion en Alicante, nos comprometemos a brindarte un diagnóstico preciso y un tratamiento de conducto de la más alta calidad, empleando tecnología avanzada y un equipo de especialistas dedicados. Recuerda que la prevención y la detección temprana son clave para tu salud dental. No dudes en consultarnos ante cualquier síntoma o duda. Tu sonrisa es nuestra prioridad.

Preguntas Frecuentes (FAQ)
- ¿La endodoncia es un tratamiento para toda la vida? Sí, en la mayoría de los casos, un diente tratado con endodoncia y correctamente restaurado puede durar toda la vida. Su éxito depende en gran medida de la calidad del tratamiento inicial y de la posterior restauración (normalmente una corona), así como de una buena higiene bucal y visitas regulares al dentista.
- ¿Necesitaré una corona después de una endodoncia? En la mayoría de los casos, sí. Después de una endodoncia, el diente puede volverse más frágil debido a la pérdida de estructura dental y la deshidratación. Una corona dental proporciona la protección necesaria, rodeando el diente y previniendo fracturas, asegurando su funcionalidad a largo plazo.
- ¿Puedo comer con normalidad después de una endodoncia? Una vez que el diente ha sido restaurado definitivamente (con un empaste o una corona), puedes comer con normalidad. Mientras tanto, y especialmente si tienes una restauración temporal, es recomendable evitar masticar alimentos duros o pegajosos en el lado tratado para no dañar el diente o la restauración provisional.
- ¿Es posible que un diente tratado con endodoncia vuelva a doler? Es poco común, pero sí, un diente endodonciado puede volver a doler. Esto puede deberse a una nueva infección si el tratamiento inicial no fue completamente exitoso, una fractura en el diente, o una filtración en la restauración. Si experimentas dolor después de una endodoncia, debes contactar a tu dentista de inmediato.
- ¿Se puede hacer una endodoncia si estoy embarazada? Sí, la endodoncia es un procedimiento seguro durante el embarazo, especialmente si la infección causa dolor. Se toman precauciones adicionales, como evitar radiografías en el primer trimestre o usar protectores de plomo, y consultar siempre con el ginecólogo antes de cualquier procedimiento dental. La infección sin tratar podría ser más perjudicial para la salud de la madre y el bebé.
- ¿Cuánto tiempo se tarda en realizar una endodoncia? El tiempo varía según la complejidad del caso y el número de conductos. Una endodoncia unirradicular puede durar entre 60 y 90 minutos en una sola sesión. Para dientes multirradiculares o casos más complejos, puede ser necesario dividir el tratamiento en dos o más citas, cada una de similar duración.
- ¿La endodoncia debilita el diente? El diente puede volverse más frágil después de una endodoncia porque se elimina el tejido pulpar y, a menudo, una parte de la estructura interna del diente. Por esta razón, la colocación de una corona dental es fundamental. La corona protege el diente de las fuerzas de la masticación, restaurando su fortaleza y funcionalidad.