Esta guía completa sobre la muela del juicio ha sido elaborada por el equipo médico de Clínica Kranion. Nuestro objetivo es ofrecerte información rigurosa para proteger tu salud bucodental. Tras tres décadas de práctica clínica en Alicante, compartimos este conocimiento para que comprendas mejor este proceso biológico.
¿Qué molestias provoca la muela del juicio y cuáles son sus síntomas?
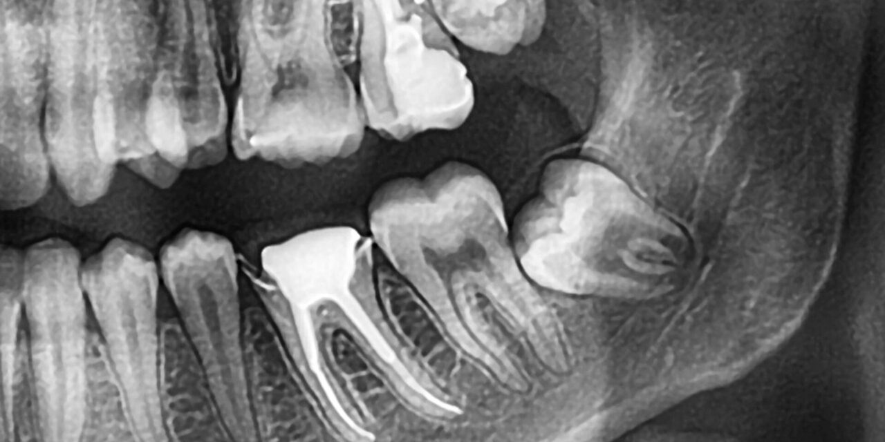
La aparición de la muela del juicio, o terceros molares, suele ocurrir entre los 17 y 25 años. Este proceso suele generar una sintomatología muy característica debido a la falta de espacio en la mandíbula. Los síntomas muela del juicio más habituales incluyen:
- Dolor punzante en la zona posterior de las encías.
- Inflamación y enrojecimiento del tejido que rodea la muela.
- Sensibilidad al tacto o al masticar alimentos sólidos.
- Mal sabor de boca o halitosis por la acumulación de bacterias.
¿Qué parte de la cabeza duele por la muela del juicio?
El dolor provocado por la muela del juicio rara vez se limita únicamente a la encía. Debido a la proximidad de importantes terminaciones nerviosas, el malestar puede irradiarse. Muchos pacientes experimentan dolor en la articulación temporomandibular (ATM) y el oído.
Es frecuente que la presión del tercer molar cause cefaleas tensionales persistentes. Este dolor de cabeza suele localizarse en un solo lado de la cara. También puede sentirse una fuerte tensión en la mandíbula que dificulta la apertura normal de la boca.

¿Cómo saber si lo que me duele es la muela del juicio?
Distinguir el origen del dolor dental es fundamental para un tratamiento correcto. Si sientes una presión que empuja tus otros dientes, es una señal clara. En nuestra clínica, utilizamos escáneres intraorales 3D para visualizar la posición exacta del molar.
La tecnología diagnóstica avanzada nos permite ver si la muela está impactada. Esto ocurre cuando el diente no tiene espacio para salir y choca contra el segundo molar. Un diagnóstico preciso mediante tomografía CBCT evita confusiones con otras patologías.
¿Qué pasa si no se sacan las muelas del juicio a tiempo?
Ignorar el dolor de una muela del juicio puede derivar en complicaciones graves. El riesgo más común es el apiñamiento dental por el desplazamiento de las piezas adyacentes. Esto puede comprometer incluso los resultados de tratamientos previos de ortodoncia.
- Formación de quistes: La muela impactada puede generar sacos de líquido peligrosos.
- Daño estructural: La presión constante puede reabsorber la raíz del diente vecino.
- Infecciones crónicas: Las bacterias se acumulan en zonas de difícil acceso para el cepillo.
- Pericoronaritis: Es una infección dolorosa del tejido blando que rodea la corona.
¿Cuándo hay que sacar una muela del juicio?
La decisión de realizar una extracción de cordales debe ser estrictamente clínica. No siempre es necesario intervenir si la muela está sana y bien alineada. Sin embargo, la extracción es prioritaria cuando existe falta de espacio evidente.
También recomendamos la cirugía si la muela interfiere con la salud de los tejidos blandos. En casos de ortodoncia invisible, a veces es necesario ganar espacio para alinear los dientes. Un especialista debe valorar la trayectoria de erupción para evitar daños futuros.
¿Es posible vivir con las muelas del juicio?
Sí, muchas personas conservan sus terceros molares durante toda la vida sin problemas. Para que esto ocurra, la mandíbula debe tener el tamaño suficiente para albergarlas. Además, deben permitir una higiene correcta para evitar la aparición de caries.
En Clínica Kranion, realizamos un seguimiento preventivo mediante revisiones periódicas. Si la muela es funcional y no causa dolor, simplemente se monitoriza su evolución. La clave es asegurar que su presencia no desequilibre la mordida o la salud gingival.

¿Cómo se ve una muela del juicio infectada?
Una infección en la muela del juicio es una urgencia odontológica que requiere atención. Visualmente, notarás la encía muy inflamada, con un tono rojo intenso o amoratado. En casos avanzados, puede apreciarse la salida de pus alrededor de la corona.
El paciente suele presentar dificultades para tragar y una inflamación visible en la mejilla. El dolor se vuelve constante y no remite con analgésicos comunes. Ante estos signos, es vital acudir a especialistas en odontología para evitar que la infección se propague.
¿Es peligroso sacarse la muela del juicio?
La cirugía oral para extraer cordales es uno de los procedimientos más frecuentes y seguros. Gracias a los avances en anestesia local y sedación, el paciente no siente dolor. En manos expertas, las complicaciones son mínimas y el tiempo de recuperación es corto.
Nuestra trayectoria de 30 años avala protocolos de seguridad extremadamente rigurosos. Utilizamos técnicas de mínima invasión para reducir la inflamación postoperatoria. La planificación digital previa nos permite actuar con una precisión milimétrica, protegiendo los nervios cercanos.
Evaluación personalizada en Clínica Kranion
Es fundamental entender que cada boca presenta una anatomía y unas necesidades únicas. No existen soluciones genéricas cuando hablamos de cirugía maxilofacial o salud dental compleja. La posición de las raíces y la densidad ósea varían significativamente entre pacientes.
Por ello, una evaluación completa por nuestro equipo es necesaria para clarificar el diagnóstico. Solo tras un estudio detallado podemos determinar si la extracción es el camino más saludable. En Clínica Kranion, priorizamos siempre la conservación dental y el bienestar a largo plazo.
La muela del juicio no tiene por qué ser una fuente de temor si se gestiona a tiempo. La prevención y el diagnóstico temprano son tus mejores aliados para evitar cirugías complejas. Confiar en profesionales con experiencia garantiza que tu sonrisa permanezca sana, funcional y alineada.

Preguntas Frecuentes (FAQs)
- ¿Cuánto tiempo puedo estar sin extraerme las muelas del juicio? Depende totalmente de si existe dolor o riesgo de daño a otros dientes. Si hay infección o falta de espacio, la espera solo agrava el problema.
- ¿Qué órganos afecta un dolor de muelas intenso? Aunque el dolor es local, la inflamación puede afectar a los ganglios linfáticos del cuello. En casos graves de infección, las bacterias podrían pasar al torrente sanguíneo.
- ¿Cuándo es realmente peligrosa la muela del juicio? Es peligrosa cuando genera quistes, daña las raíces de dientes sanos o causa infecciones recurrentes (pericoronaritis).
- ¿Qué cuidados requiere el postoperatorio tras la extracción? Se recomienda dieta blanda, frío local y evitar el ejercicio físico intenso. Es crucial no fumar para permitir que la encía cicatrice correctamente.
- ¿Pueden mover mis dientes tras la ortodoncia? Existe el riesgo de que la presión de las muelas del juicio altere la alineación conseguida. Por ello, la retención nocturna es imprescindible tras cualquier tratamiento.